
The most common type of osteoarthritis (OA) occurs in the knee. Osteoarthritis of the knee has affected more than 10 million Americans and is the most common cause of disability in the US.
How The Osteoarthritis of the Knee Affects People
Osteoarthritis of the knee is usually a slowly progressive degenerative disease where the joint cartilage gradually wears away. Because it progresses over time it most often affects older people.
Knee Osteoarthritis usually occurs from the following:
- Previous knee injury
- Repetitive strain on the knee
- Problems with the bone layer underneath the cartilage
- Obesity
- Fractures
- Ligament tears
- Meniscal injuries, which can affect alignment and cause tearing in the cartilage
Symptoms typically increase over a period of years. However, the primary symptoms of knee osteoarthritis are mild to severe pain, localized swelling, stiffness, and limited range-of-motion in the knee.
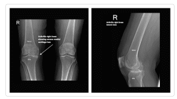
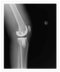
Knee X-ray Gallery
Please visit our knee x-ray gallery to see more images of knees affected by osteoarthritis.
If you are experiencing any of these symptoms and think you have Osteoarthritis of the knee, please call (310) 595-1030 to learn about how you can reduce your pain.

















